hyaDENT BG
Regeneration natürlich gefördert

hyaDENT BG stellt eine Behandlungslösung auf der Basis von Hyaluronsäure (HA) nichttierischen Ursprungs dar, die für regenerative dentale und parodontale Anwendungen optimiert wurde.
Die für hyaDENT BG verwendete HA wird biotechnologisch durch bakterielle Fermentation hergestellt. Dieser Prozess entspricht den höchstmöglichen modernen technologischen Standards, sodass eine einheitliche Produktqualität sowohl hinsichtlich einer klar definierten Molekülgröße als auch eines höchsten Reinheitsgrads erzielt werden kann.
hyaDENT BG ist eine biokompatible regenerative Hyaluronsäure höchster Qualität
- 100% frei von tierischen Ausgangsmaterialien für maximalen Infektionsschutz
- Höchstmöglicher Reinheitsgrad für optimale Biokompatibilität
- Klar definierte Molekülgröße als Grundvoraussetzung für gleichbleibende Produktqualität und optimale Performance
hyaDENT BG
Ein hoch konzentriertes Hyaluronsäure-Gel aus einer vernetzten (1,6%) und einer natürlichen HA (0,2%). hyaDENT BG zeichnet sich durch ein langsames Abbauverhalten (mehrere Wochen) aus.
Der Herstellungsprozess für die kreuzvernetzte Komponente in hyaDENT BG wird mit der bewährten BDDE-Methodik durchgeführt. Die Bedingungen für die Vernetzung werden speziell festgelegt, um eine kontrollierte Reaktion zu gewährleisten, die zu einem homogen vernetzten Produkt führt. Darüber hinaus wird die vernetzte HA hochgradig gereinigt, um eine bestmögliche Entfernung des restlichen BDDE zu gewährleisten.

VORTEILE
BESCHLEUNIGTE KONTROLLIERTE WUNDHEILUNG
HA steuert den post-operativen Entzündungsprozess und beschleunigt die Neoangiogenese für eine verbesserte Wundheilung
HA ist am gesamten Prozess der Wundheilung beteiligt und spielt hier eine Vielzahl teils gegensätzlicher Rollen. Sie moduliert die Entzündung und den gesamten Prozess der Wundheilung und behebt Gewebeschäden in Abhängigkeit ihrer Molekülgröße.1-3
Die Anwendung von HA bei Operationswunden oder chronischen Wunden stimuliert die Neoangiogenese nach der Operation.4 Dadurch beschleunigt HA den Heilungsprozess erheblich.4,5
Dies wurde klinisch durch Verkürzung der Zeit zur Epithelneubildung nachgewiesen, z.B. bei Patienten mit Brandverletzungen oder bei der Behandlung von venösen Ulcera.6
Außerdem scheint HA für eine narbenfreie Wundheilung notwendig zu sein. Dies zeigt sich bei der Heilung von fötalen Wunden, welche einen hohen Gehalt an HA im Granulationsgewebe aufweisen. Diese sind dafür bekannt, keine Narben auszubilden.1,2,7
In einem Tierversuch wurde der Einfluss von exogener Hyaluronsäure auf die Heilung von experimentell bei Hamstern hervorgerufenen Wunden untersucht. Die Anwesenheit von exogener HA beschleunigte die frühzeitige Neoangiogenese und die Heilungsdauer wurde maßgeblich von 16 Tagen auf 8,6 ± 0,4 Tagen reduziert.4
Gefäßdichte

Die zusätzliche Anwendung von HA führt zu einer erhöhten frühzeitigen Angiogenese.
*statistisch signifikanter Unterschied.
Wundverschluss

Die zusätzliche Anwendung von HA führt zu einer deutlich beschleunigten Wundheilung.
STABILISIERUNG UND SCHUTZ DES WUNDRAUMS
HA schützt vor Defektkollaps und verhindert Eindringen und Wachstum von potentiellen Krankheitserregern
Die Bildung eines Blutkoagels und dessen Stabilisierung ist essentieller Schritt für eine kontrollierte und ungestörte Wundheilung.
Wenn Hyaluronsäure in den Defekt appliziert wird, bindet sie Flüssigkeiten, interagiert mit Blutbestandteilen (u.a. Fibrinogen) und fördert so die Gerinnung.1 Durch diesen Effekt wird eine verbesserte Stabilisierung des Wundraums bewirkt. Diese Eigenschaft kann insbesondere auch bei der Knochenaugmentation genutzt werden.
Beim Vermischen von partikulärem Knochenersatzmaterial oder autologem Knochen mit HA entsteht eine angenehm zu applizierende und lagestabile Paste („Sticky Bone“).

„Sticky Bone“: pastöse Mischung von partikulärem Knochenersatzmaterial mit hyaDENT BG.
Darüber hinaus besitzt Hyaluronsäure eine ausgeprägte bakteriostatische Wirkung.8,9
Die Anwendung von HA während der chirurgischen Therapie kann die bakterielle Verunreinigung der OP-Wunde verhindern. Dadurch reduziert sich das Risiko einer post-operativen Infektion und eine besser vorhersehbare Regeneration wird gefördert.8
Dies hat auch eine klinische Relevanz. In einem in vivo-Experiment (Beagle-Hunde) wurde der Einfluss von Hyaluronsäure auf die Heilung von chronisch mit dem Parodontalkeim P. Gingivalis infizierten Extraktionsalveolen untersucht.10 Nach 3 Monaten zeigte die Hyaluronsäure-Gruppe eine signifikant bessere Knochenqualität als die Kontrollgruppe (Anteil mineralisiertes Gewebe: 63,3% vs. 47,8%).
Knochenqualität 3 Monate post-OP

Hyaluronsäure führt zu einer signifikant besseren Knochenqualität in der Ausheilung von chronisch infizierten Extraktionsalveolen.10
UNTERSTÜTZUNG DER GEWEBEREGENERATION
Hyaluronsäure reguliert den Gewebewiederaufbau für ein verbessertes Behandlungsergebnis
Hyaluronsäure spielt eine bedeutende regulierende Rolle bei Aufbau und Regeneration von Weich- und Knochengewebe.7 Sie weist komplexe Wirkungen auf die Weichgewebe- und Knochenzellen in allen Phasen der Heilung in ihren verschiedenen Formen auf.
Aus diesem Grund führt die HA-Applikation bei gängigen chirurgischen oder nicht-chirurgischen Behandlungsprotokollen zu verbesserten klinischen Behandlungsergebnissen, insbesondere bei kritischen Eingriffen. Dies konnte in verschiedenen Studien belegt werden, die auf eine positive Wirkung von HA auf Knochenbildung12-14 und parodontale Regeneration hinweisen.15-20
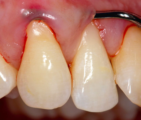
In einer 2019 publizierten prospektiven Vergleichsstudie wurde der Einfluss von HA auf das Ergebnis einer chirurgischen Rezessionsdeckung der Miller-Klasse I mithilfe einer koronalen Verschiebelappentechnik (CAF) untersucht. Es konnte gezeigt werden, dass die begleitende HA-Anwendung eine vorhersagbare und sichere Methode für die Behandlung einzelner Gingiva-Rezessionsstellen darstellt.
Durch die Anwendung von HA wurden nicht nur die klinischen Ergebnisse verbessert, sondern auch die Patientenmorbidität verringert.21
So konnte in der HA-Gruppe eine statistisch signifikant bessere Abdeckung der Zahnwurzel erzielt werden (93,8 ± 13.0 % i.Vgl. zu 73,1 ± 20,8%).
Gleichermaßen wurden in der HA-Gruppe deutlich mehr Gingiva-Rezessionen komplett gedeckt als in der Kontrollgruppe (80% i. Vgl. zu 33%).
Nach 1 Woche post-OP wiesen mit Hyaluronsäure behandelte Patienten zudem statistisch signifikant weniger Unbehagen und Schwellung auf.
Rezessionsdeckung nach 18 Monaten

Durch Hyaluronsäure kann mit der CAF-Technik eine signifikant bessere Rezessionsdeckung bei Miller I-Rezessionen erzielt werden.
Der Einfluss von Hyaluronsäure auf die knöcherne Regeneration wurde in einem Tierversuch am Modell der Heilung von Extraktionsalveolen untersucht.12
Die zusätzliche Anwesenheit von HA beschleunigte die frühzeitige Neoangiogenese und führte zu einer deutlich verbesserten Knochenqualität, sowohl im apikalen als auch im zentralen Bereich der Alveole.
Anzahl Blutgefäße

HA-Gruppe zeigt im kompletten Augmentationsbereich eine signifikant höhere Anzahl an Blutgefäßen (7 Tage post-OP) als die Kontrollgruppe.12
Knochendichte

HA-Gruppe zeigt im kompletten Augmentationsbereich eine signifikant höhere Knochendichte (21 Tage post-OP) als die Kontrollgruppe.12
In einer klinischen Vergleichsstudie wurde der Einfluss von HA auf die Knochenqualität und die Volumenstabilität bei externen Sinuslift-Operationen untersucht, die mit synthetischem Tricalciumphosphat (TCP) augmentiert wurden.14
Die Hyaluronsäure-Gruppe zeigte nach 6 Monaten eine signifikant bessere Knochenqualität als die Kontrollgruppe im Sinne eines höheren Anteils an neu gebildetem Knochen und weniger TCP-Restpartikeln. Zudem war der Volumenerhalt des augmentierten Bereichs in der Hyaluronsäure Gruppe signifikant besser als in der TCP-Kontrollgruppe (85,5% vs. 71,4%).
Knochenqualität 6 Monate post-OP

Hyaluronsäure führt zu einer signifikant höheren Knochenneubildungsrate und zu weniger Restpartikeln des Graft-Materials.14
Volumenerhalt 6 Monate post-OP

Hyaluronsäure führt zu einem signifikant besserem Volumenerhalt des Augmentats.14
PRODUKTE
| Artikel | Artikelnummer | Darreichung | ||
| hyaDENT BG | 0162.512v2 | 2 Zylinderampullen (2 x 1,2ml) |
INDIKATIONEN
Dieser Bereich wird gerade überarbeitet.
Vielen Dank für Ihr Verständnis.
KLINISCHE EVIDENZ
TECHNOLOGIE
Hyaluronsäure-Herstellung

1. Gewinnung
Reine Hyaluronsäure ist bei allen Spezies gleich,1 was die Gewinnung für die exogene Anwendung erleichtert. Traditionell wird HA aus Hahnenkämmen und der Augenflüssigkeit von Rindern extrahiert. HA bildet allerdings einen Komplex mit anderen Makromolekülen, sodass die Isolation einer bestimmten HA-Qualität aus diesen Quellen schwierig zu bewerkstelligen ist.
Infolgedessen weist die HA tierischer Herkunft eine variierende Zusammensetzung auf.22
Zudem wird der Verwendung von tierischen Substanzen für die Behandlung beim Menschen wachsender Widerstand aufgrund ethischer Argumente und möglichem Risiko einer Virus-Infektion entgegengebracht. Moderne Technologien, HA zu gewinnen, basieren auf der Anwendung eines bakteriellen Fermentationsprozesses ohne die Verwendung tierischer Gewebe.23
Bei der biotechnologisch hergestellten HA können die polymeren Eigenschaften sehr genau kontrolliert werden. Dies ermöglicht eine homogene HA-Zusammensetzung auf sichere und umweltfreundliche Art.
2. Reinigung
Die sorgfältige Aufreinigung der so gewonnenen Hyaluronsäure spielt eine entscheidende Rolle dabei, zurückgebliebene bakterielle Proteine zu entfernen. Letztere können antigene Eigenschaften aufweisen und so eine Empfängerreaktion hervorrufen.24
3. Kreuzvernetzung
Während natürliche HA-Komponenten im Allgemeinen einem schnellen Abbau unterliegen, benötigen viele erfolgreiche Therapieverfahren eine längere Verweildauer im Körper. Um das Resorptionsprofil der HA-Derivate zu verlängern, wird natürliche HA mittels bewährter chemischer Technologien vernetzt. Der Grad der Vernetzung beeinflusst sowohl die Abbauzeit als auch die physiologische Wirksamkeit.
Die etablierteste Methode ist die Anwendung von BDDE (Butandiol-diglycidylether) als Vernetzungs-Agens.
Die Kehrseite der Verwendung von BDDE besteht darin, dass Rückstände im HA-Implantat Nebenwirkungen hervorrufen können. Daher ist die sorgfältige Reinigung von vernetzter HA elementar.25
LITERATUR
- Kessiena L et al. Wound Rep Reg 2014;22:579-593.
- Longaker T et al. Ann. Surg. 1991;4:292–296.
- Mast BA et al. Matrix 1993;13:441–446.
- King SR et al. Surgery 1991;109(1):76-84.
- Ortonne JP. Ann Dermatol Venereol 2001;Mar(Suppl.):13–16.
- Ruggiero SL et al. J Dent Res 1987;66:1283-1287.
- Salbach J et al. J Mol Med 2012;90:625–635.
- Pirnazar P. et al. Journal of Periodontology 1999;70:370-374.
- Carlson GA et al. Biochem Biophys Res Comm 2004;321:472–478.
- Kim JJ et al. J Periodontol. 2016;87(7):790-795.
- Lee JY, Spicer AP. Curr Opin Cell Biol 2000;12:581–586.
- Mendes RM et al. Arch Oral Biol 2008;53:1155–1162.
- Muzaffer A et al. J Biomat Appl 2006;20:209-220.
- Stiller M. et al. Biomaterials 2014;35(10):3154-3163.
- Bevilacqua, L. et al. Annali di Stomatologia (Roma) 2012;3:75-81.
- Johannsen A. et al. J Periodontol 2009;80:1493-1497.
- Pilloni A. et al. J Appl Biomat & Biomech 2003;1:84-90.
- Chauhan AS et al. Contemporary Clinical Dentistry 2013;4:54–61.
- Briguglio, F. et al. Quintessence Int 2013;44:231-240.
- Fawzy ES et al. Clin Oral Invest 2012;16:1229–1236.
- Pilloni A et al. Clin Oral Investig. 2019 Mar;23(3):1133-1141. Erratum in: Clin Oral Investig. 2018;22(8):2961-2962.
- Kitchen JR et al. Biochem J 1995;309:649–656.
- Saranraj P and Naidu MA. IJPBA, 2013;4(5):853–859.
- André, P. J Europ Acad Dermatol Venereol 2004;18:422–425.
- De Boulle K et al. Dermatologic Surgery 2013;39(12):1758-1766.






















